症例集
ホワイトニング、インプラント、審美歯科、矯正治療を中心に当院の症例の一部をご紹介いたします。
症例集
以下よりご覧になりたい症例のカテゴリーをお選びください。
インプラント
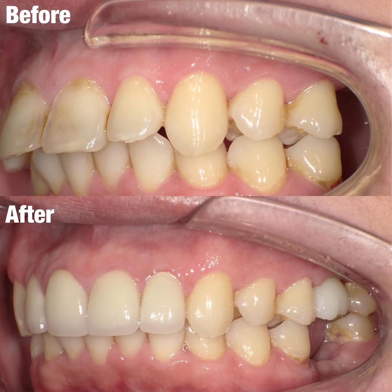
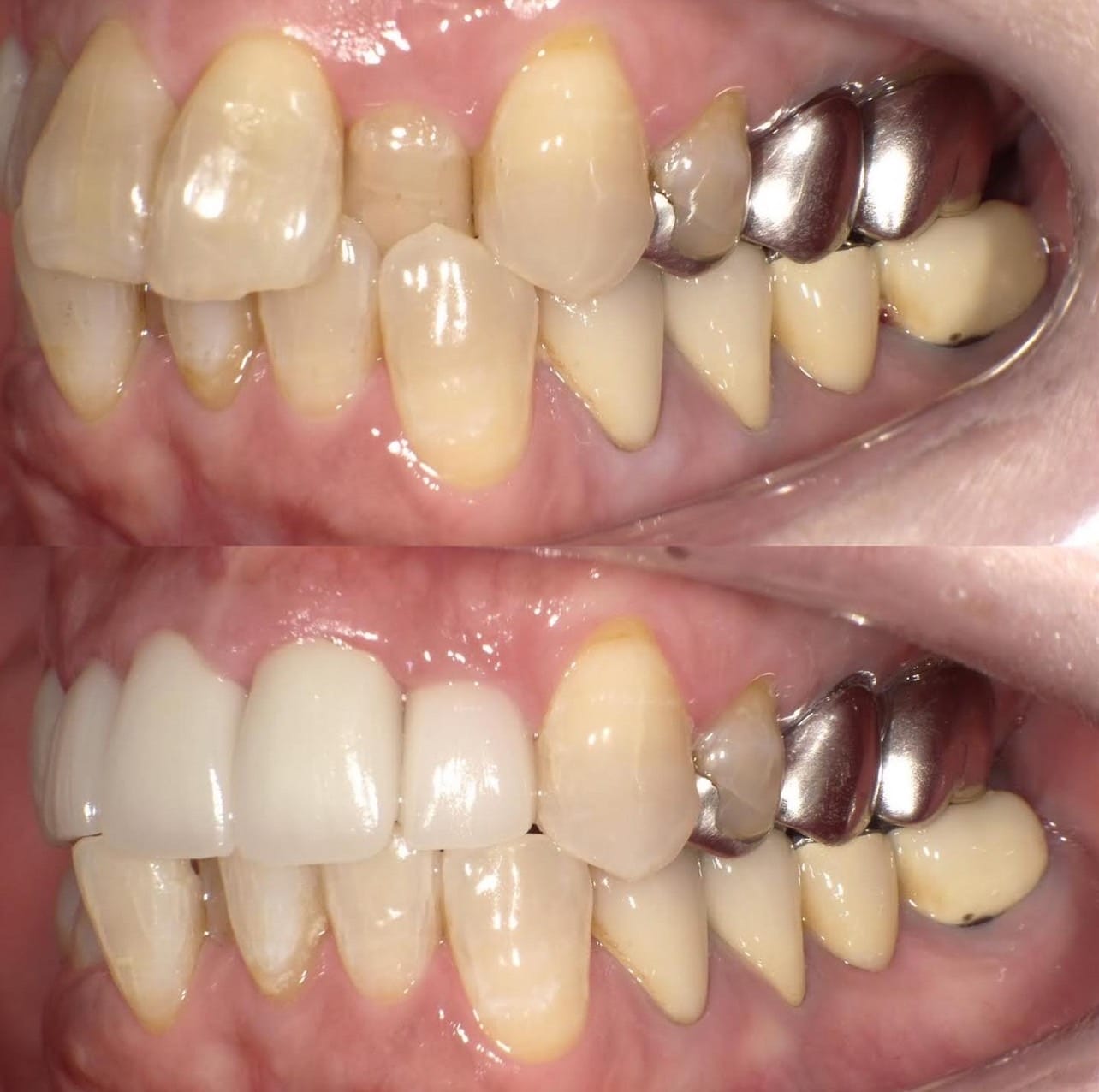
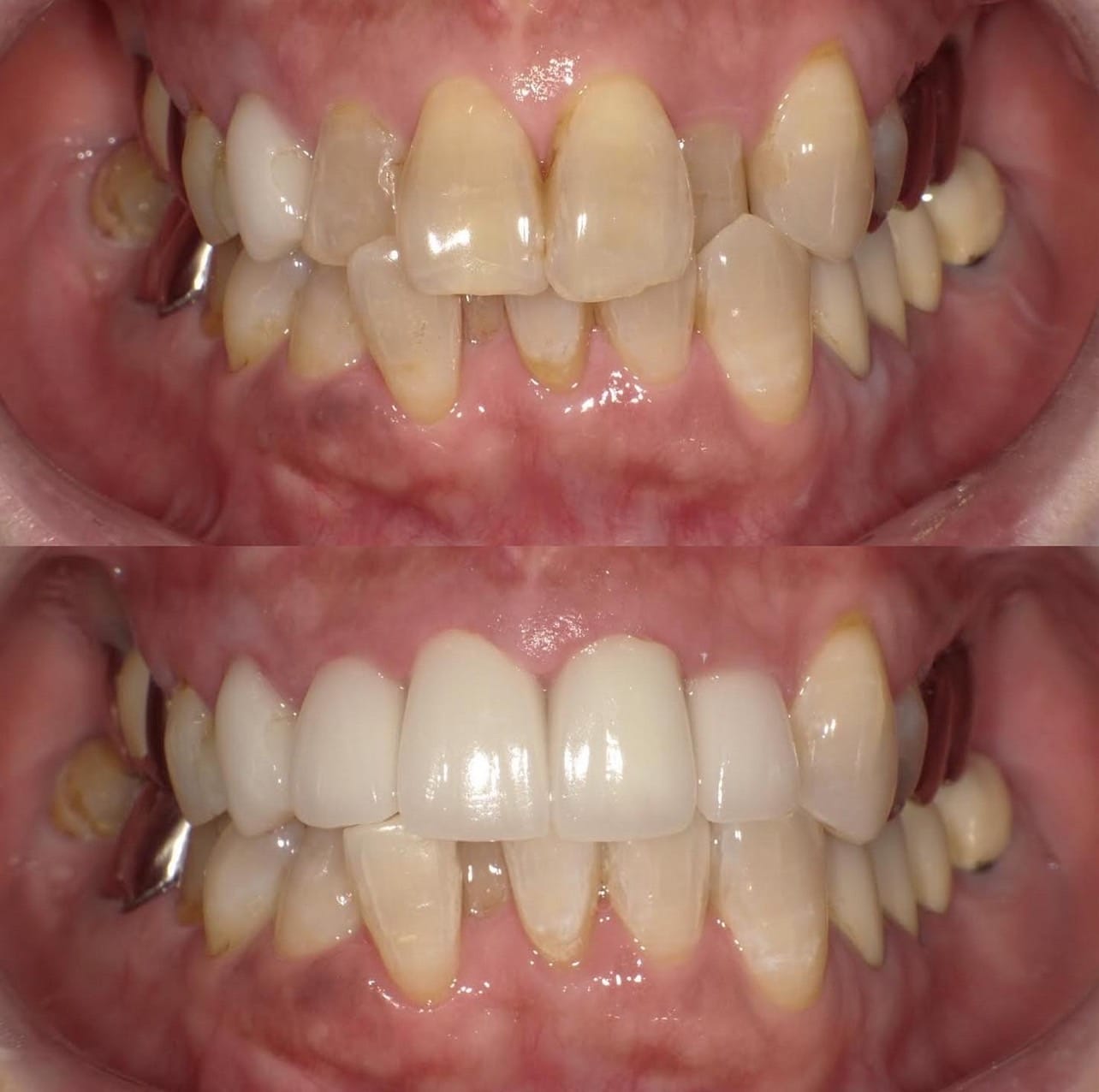
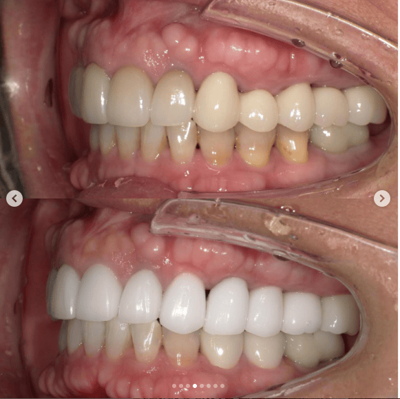
Case022 – インプラント
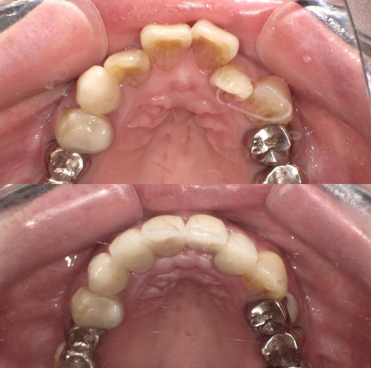
広島からの患者様です。
前歯を綺麗にしたい。インプラントをしたい。
という主訴で東京の歯医者をいろいろ調べて当院を選んでくださいました。
毎回、遠い中しっかり通ってくださり、選んで頂けた嬉しさと、その気持ちに応えたいという想いで診療させて頂きました。
前歯はご希望のお色でラミネートベニアでは出せない透明感のあるセラミックに上下左側7はインプラントをさせて頂きました。
左上は破折で温存不可。
骨も少なかったので、サイナスリフトも行い計五回の来院で被せ物を入れさせて頂きました。
左下は前回のクリニックでの埋入位置が深すぎて食べカスも毎回詰まる、セルフメンテナンスではら汚れも取れない。インプラント周囲炎にもなっていたので、一度前のインプラントを除去し、そこから新しくインプラントを埋入し、診療させて頂きました。
インプラント、歯並び、審美歯科にご興味のある方はいつでも相談にお越しください。
担当 理事長 佐藤 悠野
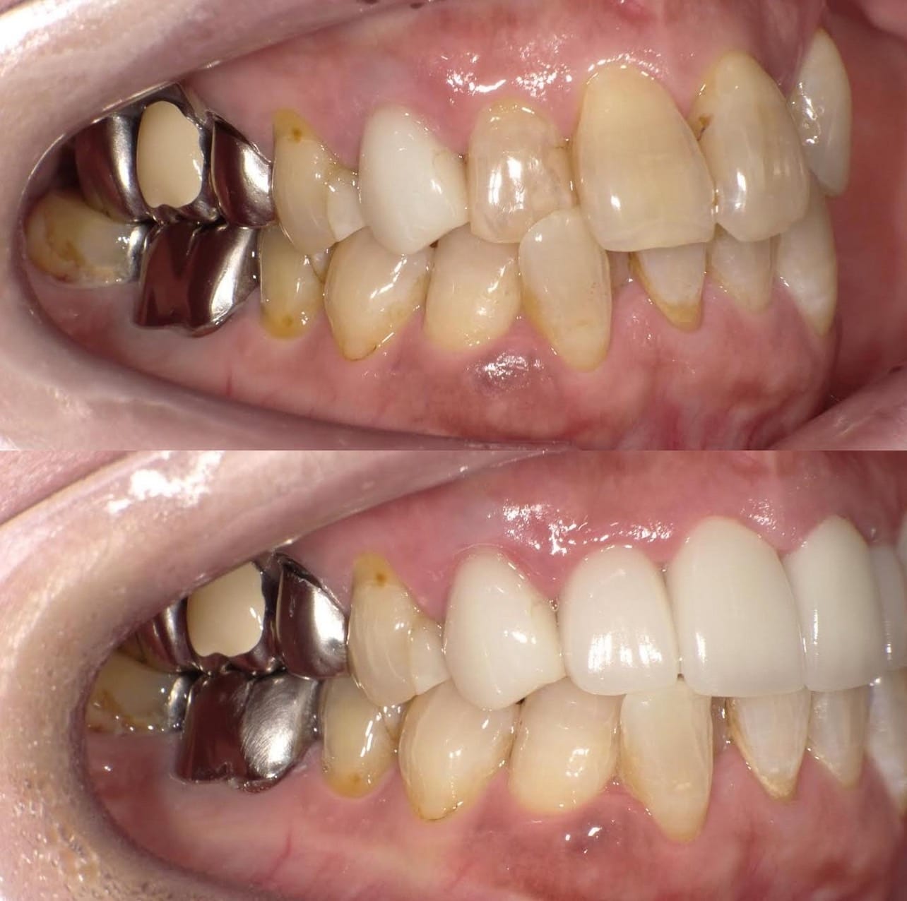
Case021 – インプラント
「ずっと放置してしまっていた。今回はちゃんとしっかり治したい」ということで、強い意志をもって来院してくださった患者様の症例です。
インプラント治療、セラミック治療、歯周病治療により、審美性と機能、咬みあわせの再建を行いました。
患者様は咬みあわせの確立により、食事もしやすく、普段の顎関節の状況も良くなり、機能の回復にも満足してくださり、また審美性も喜んでくださいました。
放置期間が長くだいぶ骨が溶けてしまっていたので、前歯部のインプラントは骨の再生療法などが必要だったりしましたが、患者様が治療への前向きな姿勢をだしてくださっていましたので期間も最短で終わりました。
一度放置してしまうと、億劫になってしまってなかなか行動に移すのは難しいと思いますが、少しでも早く治してあげた方が毎日の食事も楽になりますし、お顔の見栄えもお顔の骨格の歪みも改善します。
担当 理事長 佐藤 悠野
Case020 – インプラント
前歯のインプラント治療を担当させて頂いた患者さまです。
神経を取ったあとの前歯に歯根嚢胞という袋ができて顎骨が大きく吸収していました。
インプラントを支える骨が無くなっていたため、再生治療を行い骨を回復してからインプラントを埋入しています。
インプラントの上部は、ジルコニアセラミックスで審美性も綺麗に回復する事ができ、患者様にも満足して頂けました。
担当 西新橋院院長 宇田川 源
Case019 – インプラント
「今までほったらかしにしてきたけど、今回はちゃんと治したい」という主訴の患者様の治療です。
・できるだけ費用は抑えたい
・外見や将来の口腔内の健康に差が出るところは自由診療でやりたい
というご要望に沿う治療計画を立てて診療させていただきました。
最低限のセラミックとインプラントで機能的にも審美的にも回復することができました。
Case018 – インプラント
8年前に
・左上が腫れている
・ちゃんと咬んでご飯が食べられない
・この機会に悪いところはちゃんと治したい
ということを主訴に来院されて治療した方が久しぶりに来院くださいました。
8年前に治療した咬み合わせも、治療も、インプラントも全て順調でした。
このまま長期的に安心できると思います。
ちなみにこちらの症例におけるインプラントは、通常「ラテラルのサイナスリフト」という晴れや痛みの出やすい手法ではないと治療ができないぐらい骨が少ない状態でした。
当院では痛みや腫れの出にくい、患者様に優しい手法を取るために、難易度の高い「ソケットリフト」を採用し、成功しております。
Case017 – インプラント
歯が欠けていて、隙間がある。
歯並びが気になる。
亀裂が入っている。
歯の無いところがある。
見える銀歯が気になる。
綺麗な口元になりたい。
という患者様の診療です。
上はジルコニアセラミックでかけているところを修復しながら、綺麗な歯並びで、患者様のお好きな白い歯に。
下の歯の無い所にはインプラント。
見える銀歯は外して綺麗な歯に修復。
また、ホワイトニングをして上の歯との色のギャップを少なくして、明るい口元にしました。
Case016 – インプラント
噛み合わせから審美的なところまで、トータルで治療させて頂いた患者様です。
ここまでやるとなると、できないクリニックもありますし、できるところでも年単位でかかってしまうクリニックが大半だと思いますが、今回は4月末にカウンセリングでご来院いただき、5月に治療をスタートして9月末には診療が終わっています。
治療回数や、治療期間がかかってしまうと、患者様も通院が辛くなったり疲れてしまったりしてしまうと思います。どんどん綺麗になっていく、食事がしやすくなっていくという実感がある方が患者様に楽しく治療に臨んでいただけると思うので、私は診療のスピード感を大切にしています。
トータルでやらせていただいたので、噛み合わせなどの機能面から外見などの審美性もかなり良くなり、患者様にも満足して頂けてよかったです。
治療期間 約4ヶ月
Case015 – インプラント
口腔内を全体的に治療させて頂いた患者様の症例です。
もともと透明感の無い大きなセラミックが入っていた前歯に、透明感がありスマートな形のセラミックを入れました。また、歯茎のラインにも違和感があったため、今回の治療で治しています。
セラミックと歯茎の境目が綺麗になるかどうかは歯科医の腕次第ですが、とても綺麗にできたと思います。
また、インプラントなどで奥歯の噛み合わせも治療いたしました。
前歯の審美性にご満足いただき、以前より食事がしやすくなったとお褒めの言葉を頂きました。
当院では噛み合わせなどの機能面や審美性を考えた上での全体的な治療が可能です。
Case014 – インプラント
ずっと歯を治したかったけれど、時間がなくてできなかった方がようやく時間が取れるようになり、今回はしっかり治したいということで、ご来院頂けました。
初診時は全く噛めないくらい噛み合わせも悪くなってしまっていたのと、骨がないためにインプラントをするにも難しい状態でしたが、外見も爽やかに、食事も気にせず肉でも何でも噛めて、健康的な状態を目指して治療しました。
歯が綺麗になっていくにつれて笑顔も増えて、どんどん若々しくなっていくのを見てると歯科医としての仕事に本当にやりがいを感じました。
担当 理事長 佐藤 悠野
Case013 – インプラント
お医者様の患者様です。
左上の奥歯を「抜くしかない」という診断は受けているため、インプラントをやりたいけど、骨がなく難しい症例であるため、サイナスリフトが上手なところで治療を受けたいという主訴で当院にお越しくださいました。
インプラントが終わった後、前歯の表面が削れていて染みるという点、角度が出ていて、ほうれい線も出やすいという点も気にされていたので、セラミック矯正で前歯の歯並びを治しました。その結果、ほうれん線もかなり目立たなくなりました。もちろん歯の見栄えもよくなりました。
引き続き、左下のインプラント治療も継続させていただきます。
また、上の奥歯の抜歯をして、インプラントにしたところ、蓄膿も治ったそうです。
歯のせいで蓄膿が起きることもよくありますので、歯科医への受診もおすすめします。
担当 理事長 佐藤悠野
Case012 – インプラント
前歯の審美歯科から、奥歯の虫歯診療、歯がないところのインプラント治療まで口腔内を全体的に当院で治療させて頂いた患者様です。
外見もとても綺麗になり、奥歯でも物を噛めるようになってとても喜んで頂けました。
担当 理事長 佐藤悠野
Case011 – インプラント
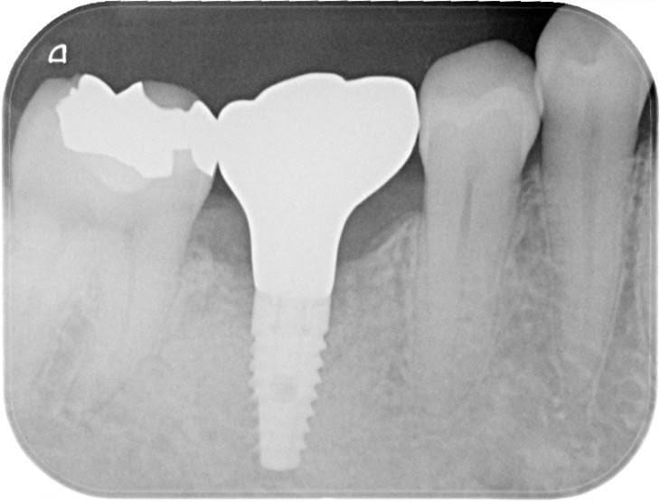
前医でインプラントの埋入角度が悪く、インプラント周囲炎になってしまった患者様の症例です。
インプラントが虫歯になることはありませんが、インプラント周囲炎というインプラントの歯周病にはなります。
インプラント周囲炎の主な原因は汚れ(菌)と力です。このように斜めに埋入されているインプラントは、真っ直ぐ埋入されているものに比べて汚れも溜まりやすく、噛む力も斜めにかかってしまうため、インプラント周囲炎になるリスクが大幅に高くなります。
この患者様は内側の骨が大幅に溶けてしまっていたので、前のインプラントを撤去して、骨を再生させると同時にインプラントを正しい位置と角度で埋入し直しました。溶けてしまっていた骨が治っていることもレントゲンでご確認いただけるかと思います。
インプラントは「どこの位置にどのような角度で入れるか」によって、一生使い続けられるかどうかの期待値が大きく異なります。値段だけを基準にクリニックを決めるのではなく、信用できる歯医医師と治療を進めることをお勧めします。
担当 理事長 佐藤悠野
Case010 – インプラント
お医者様の患者様です。
左上の奥歯は抜くしかないという診断を受けており、「インプラントをやりたいけど、骨が無いために難しい症例であるため、サイナスリフトが上手なところで治療を受けたい」という主訴で当院に来ていただけました。
インプラントが終わった後、「前歯の表面が削れていて染みる」ということと、「角度が出ていて、ほうれい線が出やすい」ということを気にされていたので、セラミック矯正で出っ歯を治療しました。
治療から三ヶ月経ちますが、ほうれん線もかなり目立たなくなりました。もちろん歯の見栄えもよくなりました。
また最初の主訴の上の奥歯の抜歯をして、インプラントにしたら蓄膿も治ったそうです。
歯が原因で蓄膿が起きることもよくありますので、歯科医への受診もおすすめいたします。
担当 理事長 佐藤悠野
Case009 – インプラント
右の奥歯を過去に他院でインプラントをした方が、当院で左下や上の歯のインプラントをする為に転院してくださった患者様です。
インプラントは高額な治療ですが、どこの位置にどの角度で埋入するかが、とても大事というのがわかりやすかったので、患者様に投稿することをお願いして挙げさせていただきました。
インプラントを快適に長く使って頂くには、菌と力のコントロールが大事なのですが、前のものは位置が悪く、汚れも溜まりやすいし、咬む力も変な方向にかかってしまう仕上がりになっています。
被せ物のクオリティーもその歯科医院がどこの技工所にどのブランドで頼むかで全く変わってきます。
インプラントをご検討の方、すでに行った方は参考にしてください。
担当:理事長 佐藤悠野
Case008 – インプラント
欠損部のインプラントと審美歯科を両方させて頂いた患者様です。
とても喜んで頂けました。
自然な噛み合わせと、審美性の両方を追求した症例です。
担当:理事長 佐藤悠野
Case007 – インプラント
他院では不可能と言われたインプラントオペの症例です。
骨幅を1mmから8mmまで抜歯即時でソケットリフトで上げてインプラントを埋入しました。
手術に要した時間は2本のソケットリフトで35分でした。
担当:理事長 佐藤悠野
Case006 – インプラント

骨再生療法+ソケットリフトで1mmしかなかった骨を10mmに造成しました。
頬側にほとんど骨がありませんでしたが、骨造成することでしっかりとインプラントが入っています。
担当:理事長 佐藤悠野
Case005 – インプラント
インプラント治療のBefore/After

骨再生療法+インプラント抜歯即時埋入
担当:理事長 佐藤悠野
Case004 – インプラント
担当:理事長 佐藤悠野
Case003 – インプラント
インプラント ソケットリフト法のBefore/After

【Before】
上顎洞(鼻の空洞)までの間隔が4mmしか無いため、しっかりとしたインプラント治療が行えない状態です。
【After】
お鼻の空洞を上げて骨を造成し、十分なスペースを確保することで、しっかりとしたインプラント治療が出来ています。
当院のソケットリフトは最小限の侵襲で骨を造成するので、お顔が腫れたり痛みが出ることがほとんどありません。
担当:理事長 佐藤悠野
Case002 – インプラント
インプラント ソケットリフト法のBefore/After

歯の周りが膿んでしまっており、骨も足りずインプラント治療が難しい状況でしたが、
ソケットリフトによってインプラント治療を可能にしています。
担当:理事長 佐藤悠野
Case001 – インプラント
インプラントのBefore/After

【Before】
歯の周りが溶けてしまっており、歯自体も大きく動揺している状態でした。
【After】
自己由来の成長因子を用いた骨造成法によって骨を再生し、しっかりとしたインプラント治療が行えています。
担当:理事長 佐藤悠野
セラミック矯正
Case033 – セラミック矯正
広島からの患者様です。
前歯を綺麗にしたい。インプラントをしたい。
という主訴で東京の歯医者をいろいろ調べて当院を選んでくださいました。
毎回、遠い中しっかり通ってくださり、選んで頂けた嬉しさと、その気持ちに応えたいという想いで診療させて頂きました。
前歯はご希望のお色でラミネートベニアでは出せない透明感のあるセラミックに上下左側7はインプラントをさせて頂きました。
左上は破折で温存不可。
骨も少なかったので、サイナスリフトも行い計五回の来院で被せ物を入れさせて頂きました。
左下は前回のクリニックでの埋入位置が深すぎて食べカスも毎回詰まる、セルフメンテナンスではら汚れも取れない。インプラント周囲炎にもなっていたので、一度前のインプラントを除去し、そこから新しくインプラントを埋入し、診療させて頂きました。
インプラント、歯並び、審美歯科にご興味のある方はいつでも相談にお越しください。
担当 理事長 佐藤 悠野
Case032 – セラミック矯正
前歯が虫歯なのと、保険のプラスチックで大きく治療されていて色が悪いこと、歯並びが出っ歯気味であることを気にしてセラミックにしたいという主訴で来院された患者様です。
虫歯が大きかったところは神経治療をきちんと行い、
初診時を含めてトータル4回のご来院で完了です。
今回は前歯を下げる、歯列を整える、白すぎず自然に綺麗に見える色というご希望に沿って治療しました。
ご興味のある方はいつでもご相談ください。
担当 理事長 佐藤 悠野
Case031 – セラミック矯正
前歯が過去に受けたプラスチック診療でまだらになっていたり、亀裂が入っていることと、交叉咬合という上下で入れ違ってしまっている噛み合わせを治したいという主訴の患者様の診療です。
ジルコニアセラミックで噛み合わせと審美性を改善しました。
すきっ歯も治り、口元がとても洗練されました。
担当 理事長 佐藤 悠野
Case030 – セラミック矯正
メジャーリーグで活躍した山口俊さんのセラミック治療を担当させて頂きました。
前医のセラミックが欠けたというのが主訴でしたが、よく見るとセラミックが欠けただけではなく、きちんと適合していないために歯茎が腫れていて、歯石や汚れもつきやすい状態でした。
また歯列としても若干歪んでいたので、この機会にその歪みも含めて治させて頂きました。
治療後は透明感のある白さで、綺麗な歯並びになり、歯茎の腫れもきちんと綺麗に削って適合よくセラミックをセットさせて頂いたので改善しました。
セラミックを入れた所の歯茎が腫れていて悩まれてる方はぜひご相談ください。
綺麗に削って適合よくセラミックをしてあげれば必ず改善します。
担当 理事長 佐藤 悠野
Case029 – セラミック矯正
「ずっと放置してしまっていた。今回はちゃんとしっかり治したい」ということで、強い意志をもって来院してくださった患者様の症例です。
インプラント治療、セラミック治療、歯周病治療により、審美性と機能、咬みあわせの再建を行いました。
患者様は咬みあわせの確立により、食事もしやすく、普段の顎関節の状況も良くなり、機能の回復にも満足してくださり、また審美性も喜んでくださいました。
放置期間が長くだいぶ骨が溶けてしまっていたので、前歯部のインプラントは骨の再生療法などが必要だったりしましたが、患者様が治療への前向きな姿勢をだしてくださっていましたので期間も最短で終わりました。
一度放置してしまうと、億劫になってしまってなかなか行動に移すのは難しいと思いますが、少しでも早く治してあげた方が毎日の食事も楽になりますし、お顔の見栄えもお顔の骨格の歪みも改善します。
担当 理事長 佐藤 悠野
Case028 – セラミック矯正
歯並びと噛み合わせを治したいということを主訴に来院してくださった患者様の症例です。
前医の矯正専門医でマウスピースによる矯正では綺麗にならないといわれ、ワイヤー矯正はしたくなく、当院でセラミックで治したいということで来てくださいました。
初診時カウンセリングを含め計3回の診療、期間は三週間で前歯を内側に引っ込め、噛み合わせが交差咬合という不正咬合になってるところも治しました。
前歯が内側に引っ込むことで、口周りの軟組織もしまってお顔立ちもとても若々しくシュッとされ、より洗練されたイメージになりました。
当院はインビザラインによるマウスピース矯正、ワイヤー矯正、セラミック矯正の全ての矯正をやる事ができますが、その中で患者様のご希望、状態にあったもので、最善の治療をする事を心がけております。
担当 理事長 佐藤 悠野
Case027 – セラミック矯正
歯が欠けていて、隙間がある。
歯並びが気になる。
亀裂が入っている。
歯の無いところがある。
見える銀歯が気になる。
綺麗な口元になりたい。
という患者様の診療です。
上はジルコニアセラミックでかけているところを修復しながら、綺麗な歯並びで、患者様のお好きな白い歯に。
下の歯の無い所にはインプラント。
見える銀歯は外して綺麗な歯に修復。
また、ホワイトニングをして上の歯との色のギャップを少なくして、明るい口元にしました。
Case026 – セラミック矯正
他院で実施したセラミック矯正の再治療を希望された患者様の症例です。
■色をもっと透明感のある白にしたい。
→当院自慢の一流技工士による最高品質ジルコニアセラミックにて透明感のある白へ
実際は写真でみるよりももっと透明感があります。
■前歯の歯の長さが違うのを治したい
→レーザーによる歯肉整形術で均等な歯の長さへ
■出っ歯に作られている前歯を引っ込めたい
→施術を担当した理事長の形成により、内側に入れるデザインにして洗練された口元へ。これによりEラインも整います。
■歪んだ歯並びを綺麗に
→施術を担当した理事長による形成、印象と技工士との連携により綺麗な歯並びへ
■タバコを吸ってた頃のヤニのついた黒くなってしまった歯茎が気になる
→レーザーによるメラニン色素除去でピンク色の歯茎に戻して若々しい印象へ
Case025 – セラミック矯正
セラミック矯正の患者様です。
・上下の歯の入れ違い
・正中の歪みと隙間
を主訴にご来院くださいました。
この患者様は若年性歯周炎にかかってしまったため、一生懸命に歯を磨き、口の中は綺麗なのにも関わらず歯茎が下がってしまい、隙間が出来てしまっています。
これは矯正治療で歯の並び方を変えても絶対に無くなりません。
そのため、患者様の主訴を叶えるためにセラミック矯正で治療計画を練りました。
前のクリニックでは「上下一本ずつ抜糸してブリッジで矯正する」という計画だったようですが、
・患者様が非抜歯を希望されていること
・歯を抜かなくても綺麗に並べられそうだったこと
を理由に、当院では上は抜かずにセラミック。下は形態修正だけで対応しました。
この方針変更だけでもお値段も安く、また侵襲(ダメージ)を少なくすることができました。
治療の結果、最低限の侵襲で、見違えるほど綺麗な口元に治療することができ、患者様もとても喜んでくださいました。
主訴とご希望によって、ワイヤー矯正、マウスピース矯正、セラミック矯正のどの矯正が適しているかは異なります。
当院では上記全ての治療法に対応することができるので、主訴とご希望に沿った方法で治療することが可能です。
カウンセリングにてご希望をお伺いした後、一つ一つの治療の違い、当院のおすすめをご紹介いたしますので、ご希望の治療方法をお選びいただけます。
歯並びなどお口元にお悩みのある方、より綺麗な口元になりたい方はぜひ一度ご相談ください。
【主訴】
・上下で入れ違っている前から2本目の歯のすれ違いを治したい。
・清潔感のある白さで明るい綺麗な口元にしたい
・歯の隙間を無くしたい
【ご要望、ご状況】
・歯を抜かずに治したい
・前医では上下1本ずつ抜歯をして、ブリッジで上3本、下3本の計6本を治すことを提案された。
【今回の治療法】
・右上の犬歯から左の前歯までの計4本をジルコニアセラミックで治療
・色は自分の歯よりやや白いくらいでホワイトニングをしてもしなくても大丈夫なくらいの白さ
・歯は抜かない
・右下の歯は形態修正だけで対応
・歯茎のラインを歯肉整形術で整える
Case024 – セラミック矯正
・歯茎のラインが合わなくなってきた
・色をもっと綺麗にしたい
・ルックスを良くしたい
という主訴でご来院の患者様です。
理事長が3年前にセラミック矯正を担当した患者様の歯を見て、綺麗だと思ってくれて来院してくださいました。
前医で入れたセラミックのところだけではなく犬歯も歯茎が下がっていて、歯が痩せて見えていたので、被せ物の形と、歯茎のラインの設定で若々しく、綺麗に見える口元にしました。
Case023 – セラミック矯正
・すきっ歯を治したい
・前歯を引っ込めたい
・色も綺麗にしたい
・短期間で終わらせたい
ということで、セラミック矯正をお選びいただいた症例です。
【治療回数】 初診のカウンセリング含めて3回
【治療期間】 初診から3週間
Case022 – セラミック矯正
モデルのお仕事をされている患者様の症例です。
・顎が小さい
・右側の前から二番目の歯が生まれつき生えてない
・右側の前から二番目の歯が矮小歯(普通の方より歯がやせ細ってしまう状態)のため隙間が空いている
・歯並びが歪んでいる
という状態を悩んでいらっしゃいました。
・矮小歯は矯正で並び方を整えても矮小歯のまま
・矯正しても左右の歯の本数が揃わない
また、患者様のご要望として、
・短期間で治療を終わらせたい
ということでセラミック矯正で治療することにしました。
【来院回数】
初診のカウンセリング込みで3回。
ジルコニアセラミック8本で治療しました。
もともと綺麗な方でしたが、口元が洗練されたことでさらにお綺麗になられたかと思います。
ご本人もとても喜んでくださりました。
口元にお悩みがある方はぜひご相談ください。
矯正の方が主訴にあってる方には、矯正治療も行なっています。
まずは一度ご相談ください。
Case021 – セラミック矯正
他院ですでに3本セラミック治療を行っている男性の患者様です。
歯並びと色を変えたいということで当院にお越しくださいました。
・透明感のあるセラミックに変更
・前に出ている歯を内側に入れてスマートな印象に
したことにより、とても洗練された口元になったと思います。
この白い色もとてもお似合いの方で、治した私もセット後に思わず「似合いますね」と言ってしまいました。
当院はセラミック矯正だけではなく、マウスピース矯正、ワイヤー矯正と全ての治療メニューを用意しております。
患者様の主訴と悩み、治療費にかけられる費用と期間をお伺いし、ご要望に合う治療方針をご提案、ご相談しながら決めています。
この方の場合は
・既に歯を3本削られている
・前医で入れた大きなセラミックは矯正しても小さくはならない
・色を変えたい
以上の理由でセラミック矯正を選んでおります。
Case020 – セラミック矯正
もともと他院でインビザラインをしていた患者様の症例です。
「インビザラインをしたけど、思ったより前歯が下がらなかった」という理由でご来院くださいました。
「歯を小さくしたい」というご要望をお持ちでしたが、矯正ではもともとの歯の大きさを変えられないため、
当院にて上の前歯4本をジルコニアセラミックで治しました。
前歯を大きく下げることができたので、口元が洗練されたのはもちろんEラインの改善にもなりました。
また、色もホワイトニングのジルコニアセラミックを組み合わせることで、明るく綺麗な口元になりました。
さらに、左下の銀の詰め物を、ダイレクトボンディングで白く治しています。
治療回数 初回カウンセリング込みで3回
治療期間3週間
1回目 カウンセリング+仮歯の型取り
2回目 セラミックの型取り+仮歯のセット
3回目 完成
Case019 – セラミック矯正
「歯の長さが短い、歯並びが歪んでる、表面が平面でカッコ悪い、歯茎が腫れている」ということを主訴に来院くださった患者様です。
セラミック矯正は歯科医の技術、センスで仕上がりが全く違うため、審美歯科の中でも担当する歯科医によって最も大きな差の出る診療です。
また、歯並びだけではなく顔貌(お顔立ち)まで綺麗にすることができる診療です。
歯茎の腫れは綺麗に歯を削り直して、正確に型を取り、
精密に作られたセラミックを適合よくセットしてあげることで、前医で入れてから1年以上腫れ続けてた歯茎が1週間で綺麗なピンク色に治りました。
形や並びに関しても、まず歯科医師が「どのような形にするか、どのように並べるか」をイメージしながら綺麗に削ることから始まります。
患者様の主訴通りに綺麗にできて喜んでいただきました。
当院では、患者様の主訴と、治療にかけられる費用、期間によって、ワイヤー矯正、インビザライン、インビザラインGo、セラミック矯正の中から治療法の特徴などをお話しし、その患者様に最適な治療を提案させて頂いております。
Case018 – セラミック矯正
口腔内を全体的に治療させて頂いた患者様の症例です。
もともと透明感の無い大きなセラミックが入っていた前歯に、透明感がありスマートな形のセラミックを入れました。また、歯茎のラインにも違和感があったため、今回の治療で治しています。
セラミックと歯茎の境目が綺麗になるかどうかは歯科医の腕次第ですが、とても綺麗にできたと思います。
また、インプラントなどで奥歯の噛み合わせも治療いたしました。
前歯の審美性にご満足いただき、以前より食事がしやすくなったとお褒めの言葉を頂きました。
当院では噛み合わせなどの機能面や審美性を考えた上での全体的な治療が可能です。
Case017 – セラミック矯正
ジルコニアセラミック4本のみで歯列を綺麗にした症例です。
出っ歯になっていた前歯を内側に、奥に引っ込んでいた前歯を外に出しました。
歯の神経の位置にも恵まれていたので、神経も全て残存できています。
前歯の歯列が変わることで、かなり外見の印象も変わりました。
治療期間 2週間
治療回数 2回
1回目 歯を削る、型をとる、仮歯を入れる
2回目 ジルコニアセラミックをセット
Case016 – セラミック矯正
矯正治療をしたものの、なかなか綺麗にならなかったこと、元々の歯の大きさや治療された色が気に入らなかったことを理由に来院くださった患者様です。
ジルコニアセラミック6本で治療させていただきました。
歯の形、大きさ、色が気に入らなかったり、プラスチックでの治療の面積が大きくなってきてしまった方にはセラミック矯正がおすすめです。
アフターの写真はセットして4ヶ月後です。
歯科医師の腕の違いはセラミックと触れている部分の歯茎の状態と色で分かります。
今回の写真のように歯茎が明るいピンク色で、人工物が入ってるようには見えず、歯茎からセラミックまで移行的な形態になってるものがうまくいってるものです。
赤くなってたり、暗い色になっていたり、歯茎が移行的ではなくブヨブヨしてるものは、うまく入ってない・歯と合ってない可能性があるので一度診てもらうことをお勧めします。
Case015 – セラミック矯正
ずっと歯を治したかったけれど、時間がなくてできなかった方がようやく時間が取れるようになり、今回はしっかり治したいということで、ご来院頂けました。
初診時は全く噛めないくらい噛み合わせも悪くなってしまっていたのと、骨がないためにインプラントをするにも難しい状態でしたが、外見も爽やかに、食事も気にせず肉でも何でも噛めて、健康的な状態を目指して治療しました。
歯が綺麗になっていくにつれて笑顔も増えて、どんどん若々しくなっていくのを見てると歯科医としての仕事に本当にやりがいを感じました。
担当 理事長 佐藤 悠野
Case014 – セラミック矯正
お医者様の患者様です。
左上の奥歯を「抜くしかない」という診断は受けているため、インプラントをやりたいけど、骨がなく難しい症例であるため、サイナスリフトが上手なところで治療を受けたいという主訴で当院にお越しくださいました。
インプラントが終わった後、前歯の表面が削れていて染みるという点、角度が出ていて、ほうれい線も出やすいという点も気にされていたので、セラミック矯正で前歯の歯並びを治しました。その結果、ほうれん線もかなり目立たなくなりました。もちろん歯の見栄えもよくなりました。
引き続き、左下のインプラント治療も継続させていただきます。
また、上の奥歯の抜歯をして、インプラントにしたところ、蓄膿も治ったそうです。
歯のせいで蓄膿が起きることもよくありますので、歯科医への受診もおすすめします。
担当 理事長 佐藤悠野
Case013 – セラミック矯正
歯が欠けてしまったことと、出っ歯を主訴に福岡県から来院してくれた患者様です。
内側に綺麗に入れたことで、口が締まりやすくなり、口元がスッキリしました。
当院には全国からインスタグラムや雑誌、ネットを調べてくれた患者様がご来院くださっております。
はるばる遠方から来てくださる患者様に「ここまで来てよかった」と満足してもらえる診療を行えるよう、今後も精進していきます。
歯の色は自然な色から白いものまで選べます。
来院回数
カウンセリング込みで3回
治療期間 3週間
Case012 – セラミック矯正
前歯の審美歯科から、奥歯の虫歯診療、歯がないところのインプラント治療まで口腔内を全体的に当院で治療させて頂いた患者様です。
外見もとても綺麗になり、奥歯でも物を噛めるようになってとても喜んで頂けました。
担当 理事長 佐藤悠野
Case011 – セラミック矯正
前医の被せ物のやりかえを希望された患者様の症例です。
色と形が悪く、汚く見えてしまうという主訴でご来院。
「可能な限り費用を抑えながら、口元が綺麗に明るく見えるようにしたい」というご希望だったので、通常は左右対称の本数で治すことが多いのですが、今回は左上の1番目から右側の4番目までの5本の治療としました。
その場合、一番気をつけなければならないのは色の選択です。
色を左の歯よりも明るくしすぎてしまうと、左右非対称に見えてしまうため、明るくしすぎることはできないし、せっかく治療をするのに綺麗に見えない色を選択するのももったいないです。
同じ白色でも「透明感のある白」と「マットな白」では色の浮き方が全く違います。
当院では、白さを追求しながらも透明感のある高品質なセラミックを使用しているため、自分の歯より白いものを使用しても、色が浮かずに全体的に明るく見えるようになっていると思います。
治療回数3回(初回カウンセリング含む)
担当 理事長 佐藤悠野
Case010 – セラミック矯正
「開咬」の方の審美治療です。
「開咬」とは文字通り、しっかり噛んでも前歯が咬み合わず、隙間ができてしまう咬みあわせのことをいいます。
この状態だと、上の歯が出ていなくても、出ているように見えてしまったり、いつでも口が開いているように見えるため、口元の洗練さが落ちてしまいます。
今回はセラミック矯正で治療させて頂きました。
笑顔の時に口が開いているように見えてしまっていましたが、洗練された笑顔になりました。
担当 理事長 佐藤悠野
Case009 – セラミック矯正
お医者様の患者様です。
「上下額前突、歯の傾斜が出ていて口元が出てしまっている」ことが主訴の患者様の症例です。
歯の大きさも気にされており、小さくしながら色も綺麗にしたいということでセラミック矯正をご提案しました。
治療の結果、口元が下がることで閉口筋が活発になり、お顔の印象も変わりました。
【治療回数】
3回(初診カウンセリング含む)
【治療期間】
3週間
担当 理事長 佐藤悠野
Case008 – セラミック矯正
お医者様の患者様です。
左上の奥歯は抜くしかないという診断を受けており、「インプラントをやりたいけど、骨が無いために難しい症例であるため、サイナスリフトが上手なところで治療を受けたい」という主訴で当院に来ていただけました。
インプラントが終わった後、「前歯の表面が削れていて染みる」ということと、「角度が出ていて、ほうれい線が出やすい」ということを気にされていたので、セラミック矯正で出っ歯を治療しました。
治療から三ヶ月経ちますが、ほうれん線もかなり目立たなくなりました。もちろん歯の見栄えもよくなりました。
また最初の主訴の上の奥歯の抜歯をして、インプラントにしたら蓄膿も治ったそうです。
歯が原因で蓄膿が起きることもよくありますので、歯科医への受診もおすすめいたします。
担当 理事長 佐藤悠野
Case007 – セラミック矯正
前医で根切という外科的な根の治療を受けていましたが、それがうまくいっていなく、また膿んでしまっている方の再治療をおこないむした。根切のやり直しは非常に難しいのですが、膿んで溶けてしまっていた骨の再生も確認できて経過は良好です。
またセラミックも新しく綺麗にして、歯茎の黒ずみも消失しています。
治療回数
3回(写真カウンセリングを含む)
担当:理事長 佐藤悠野
Case006 – セラミック矯正
欠損部のインプラントと審美歯科を両方させて頂いた患者様です。
とても喜んで頂けました。
自然な噛み合わせと、審美性の両方を追求した症例です。
担当:理事長 佐藤悠野
Case005 – セラミック矯正
前医でマウスピース矯正を試してみたものの上手くいかず、当院にお越しくださった患者様です。
もう時間をかけたくないとの主訴だったので、マウスピース矯正ではなくセラミック矯正で治療しました。
初診時よりとても綺麗になり、満足して頂けました。
クリーニング+セラミック矯正+ホワイトニング
来院回数 3回(初回のカウンセリング含む)
担当:理事長 佐藤悠野
かぶせもの:セラミック
治療費:687,500円(エアフロー+セラミック矯正+ホワイトニング)
審美歯科のメリット・デメリット(リスク)などの詳細はこちら
料金はこちら
Case004 – セラミック矯正
審美歯科の症例です。
【患者様の主訴】
・歯を小さくしながら、出っ歯を治したい。
・歯の色も白く、形も綺麗にしたい。
【治療方法・期間】
・ジルコニアセラミックによる審美歯科
・来院回数 3回
・治療期間 20日
・治療費:1,920,000円〜2,560,000円
患者様にはとても喜んで頂けて、歯科医として仕事をしてる私にとっても嬉しかったです。
担当:理事長 佐藤悠野
かぶせもの:ジルコニアセラミック
[メリット]
自分の好きな色、歯の形を選べる
自分の歯よりも着色や汚れがつきにくくなる
[デメリット]
高額である
削ることで一時的に歯がしみたり痛みが出る可能性がある
術者のレベルによって仕上がりに差が出る
Before写真の上顎中央にあるような、大きく向きを変えなければならない歯がある場合、歯の神経を取る必要がある場合がある
審美歯科のメリット・デメリット(リスク)などの詳細はこちら
料金はこちら
Case003 – セラミック矯正
歯と歯の隙間が空いている状態をセラミック矯正で治療した症例です。
担当:理事長 佐藤悠野
かぶせもの:ジルコニアセラミック
治療費:2,400,000円〜3,200,000円
[メリット]
自分の好きな色、歯の形を選べる
自分の歯よりも着色や汚れがつきにくくなる
[デメリット]
高額である
削ることで一時的に歯がしみたり痛みが出る可能性がある
術者のレベルによって仕上がりに差が出る
審美歯科のメリット・デメリット(リスク)などの詳細はこちら
料金はこちら
Case002 – セラミック矯正
セラミック矯正を患者様の好きな白さのセラミックで行い、歯並びと色を綺麗にしました。歯茎のラインも自然にできています。
最近選ばれることが多いかなり白いのに透明感がある色です。
担当:理事長 佐藤悠野
かぶせもの:ジルコニアセラミック
治療費:1,680,000円〜2,240,000円
[メリット]
自分の好きな色、歯の形を選べる
自分の歯よりも着色や汚れがつきにくくなる
[デメリット]
高額である
削ることで一時的に歯がしみたり痛みが出る可能性がある
術者のレベルによって仕上がりに差が出る
審美歯科のメリット・デメリット(リスク)などの詳細はこちら
料金はこちら
Case001 – セラミック矯正
「昔から歯並びが気になっているので治したいが、もうすぐ海外に行くので時間がない」
「可能な限り安く、できるだけ自分の歯は削らないで綺麗に見えるようにして欲しい」
という患者様の症例です。

【治療内容】
上4本下4本 オールセラミッククラウン
【治療期間】
1ヶ月
【治療費】
840,000円
担当:理事長 佐藤悠野
[メリット]
自分の好きな色、歯の形を選べる
自分の歯よりも着色や汚れがつきにくくなる
[デメリット]
高額である
削ることで一時的に歯がしみたり痛みが出る可能性がある
術者のレベルによって仕上がりに差が出る
Before写真にある下顎の最も前に出ている前歯を矯正なしで治療するために、神経をとる必要があった
ワイヤー矯正
Case006 – ワイヤー矯正
片顎抜歯を行い、主に上の前歯の歯並びを矯正した症例です。
Case005 – ワイヤー矯正
片顎抜歯を行い、主に上の前歯の歯並びを矯正した症例です。
Case004 – ワイヤー矯正
上下左右4本の抜歯を行い、全体の歯並びを矯正した症例です。
Case003 – ワイヤー矯正
上下左右4本の抜歯を行い、全体の歯並びを矯正した症例です。
Case002 – ワイヤー矯正
下の歯が前に出てしまう、いわゆる「受け口」を矯正した症例です。
Case001 – ワイヤー矯正
インビザラインFull
Case005 – インビザラインFull
Case004 – インビザラインFull
Case003 – インビザラインFull
Case002 – インビザラインFull
Case001 – インビザラインFull
インビザラインGo
Case007 – インビザラインGo
「前歯の歯並びが気になる」という理由でマウスピース矯正を開始された患者様の症例です。歯並びを綺麗にすることで、洗練された口元になり患者様も大変喜んでいただきました。
費用:45万(税別)
治療期間:4ヶ月
リスク:患者様がマウスピースを一日外しっぱなしにするなど、ルールを守ってくれないと、きちんと並ばない事があります。
Case006 – インビザラインGo
「前歯部のすき間が気になる」という理由でマウスピース矯正を開始された患者様の症例です。BeforeとAfterを比べると、すき間がなくなり綺麗なアーチ状になり、患者さまにも満足していただけました。
費用:45万(税別)
治療期間:3ヶ月
リスク:患者様がマウスピースを一日外しっぱなしにするなど、ルールを守ってくれないと、きちんと並ばない事があります。
Case005 – インビザラインGo
「前歯部のすき間が気になる」という理由でマウスピース矯正を開始された患者様の症例です。
費用:45万(税別)
治療期間:3ヶ月と3週間
リスク:患者様がマウスピースを一日外しっぱなしにするなど、ルールを守ってくれないと、きちんと並ばない事があります。
Case004 – インビザラインGo
インビザライン矯正の症例です。
インビザライン矯正で歯並びを改善しました。
この矯正は「透明なマウスピースをつけて生活する(食事、人と会う時などは外すことができます)だけで矯正できる」というワイヤー矯正しかなかった時代からするととても画期的な矯正方法です。
歯ブラシする時もマウスピースを外せばしっかり歯を磨けるので、従来の矯正とは違って矯正期間中も虫歯になりづらいです。
担当 理事長 佐藤 悠野
Case003 – インビザラインGo
マウスピース矯正「インビザライン」の症例です。
当法人理事長が実施したインビザラインの症例をご紹介します。
—
自分の口のインビザラインです。
もともと若い頃に歯列矯正をやっていましたが、噛む力などの影響で前歯が少し外に出たのと、歯と歯の隙間が開いてきたと感じてきたので、上の歯だけインビザラインをやってみました。
もともと矯正をしていたので、歯並びが酷い状態からスタートしたわけではありませんでしたが、前歯が内側には入り、隙間が閉じたことで歯並びとしては印象がかなり変わったと思います。大満足です。
今の矯正はこんなに手軽なんだなぁと実感しました。
ちなみにアメリカでは一生涯で実施する矯正回数は平均2.7回と2回を超えるみたいです。
治療期間 13週(3ヶ月弱)
Case002 – インビザラインGo
マウスピース矯正「インビザライン」の症例です。
すきっ歯なのと歯が前に出ているのが悩みの患者様でしたが、たった3ヶ月の透明なマウスピース矯正でここまで綺麗になりました。
患者様も喜んでくださり良かったです。
費用 45万(税別)
治療期間 3ヶ月
リスク 患者様がマウスピースを一日外しっぱなしにするなど、ルールを守ってくれないと、きちんと並ばない事があります。
担当 理事長 佐藤悠野
Case001 – インビザラインGo
インビザラインgoの症例です。
【治療期間】3ヶ月
【治療費用】45万円(税別)
【BEFORE】
【AFTER】
担当:理事長 佐藤悠野
ホワイトニング
Case005 – ホワイトニングト
歯が欠けていて、隙間がある。
歯並びが気になる。
亀裂が入っている。
歯の無いところがある。
見える銀歯が気になる。
綺麗な口元になりたい。
という患者様の診療です。
上はジルコニアセラミックでかけているところを修復しながら、綺麗な歯並びで、患者様のお好きな白い歯に。
下の歯の無い所にはインプラント。
見える銀歯は外して綺麗な歯に修復。
また、ホワイトニングをして上の歯との色のギャップを少なくして、明るい口元にしました。
Case004 – ホワイトニング
担当:理事長 佐藤悠野
Case003 – ホワイトニング
担当:理事長 佐藤悠野
Case002 – ホワイトニング
担当:理事長 佐藤悠野
Case001 – ホワイトニング
担当:理事長 佐藤悠野
審美歯科
Case013 – 審美歯科
広島からの患者様です。
前歯を綺麗にしたい。インプラントをしたい。
という主訴で東京の歯医者をいろいろ調べて当院を選んでくださいました。
毎回、遠い中しっかり通ってくださり、選んで頂けた嬉しさと、その気持ちに応えたいという想いで診療させて頂きました。
前歯はご希望のお色でラミネートベニアでは出せない透明感のあるセラミックに上下左側7はインプラントをさせて頂きました。
左上は破折で温存不可。
骨も少なかったので、サイナスリフトも行い計五回の来院で被せ物を入れさせて頂きました。
左下は前回のクリニックでの埋入位置が深すぎて食べカスも毎回詰まる、セルフメンテナンスではら汚れも取れない。インプラント周囲炎にもなっていたので、一度前のインプラントを除去し、そこから新しくインプラントを埋入し、診療させて頂きました。
インプラント、歯並び、審美歯科にご興味のある方はいつでも相談にお越しください。
担当 理事長 佐藤 悠野
Case012 – 審美歯科
前歯が虫歯なのと、保険のプラスチックで大きく治療されていて色が悪いこと、歯並びが出っ歯気味であることを気にしてセラミックにしたいという主訴で来院された患者様です。
虫歯が大きかったところは神経治療をきちんと行い、
初診時を含めてトータル4回のご来院で完了です。
今回は前歯を下げる、歯列を整える、白すぎず自然に綺麗に見える色というご希望に沿って治療しました。
ご興味のある方はいつでもご相談ください。
担当 理事長 佐藤 悠野
Case011 – 審美歯科
過去に受けたプラスチック診療で
・前歯がまだらになっていたり、亀裂が入っている
・交叉咬合という上下で入れ違ってしまっているかみ合わせを治したい
という主訴の患者様の診療です。
ジルコニアセラミックで噛み合わせと審美性を改善しました。
すきっ歯も治り、口元がとても洗練されました。
Case010 – 審美歯科
・すきっ歯を治したい
・前歯を引っ込めたい
・色も綺麗にしたい
・短期間で終わらせたい
ということで、セラミック矯正をお選びいただいた症例です。
【治療回数】 初診のカウンセリング含めて3回
【治療期間】 初診から3週間
Case009 – 審美歯科
もともと他院でインビザラインをしていた患者様の症例です。
「インビザラインをしたけど、思ったより前歯が下がらなかった」という理由でご来院くださいました。
「歯を小さくしたい」というご要望をお持ちでしたが、矯正ではもともとの歯の大きさを変えられないため、
当院にて上の前歯4本をジルコニアセラミックで治しました。
前歯を大きく下げることができたので、口元が洗練されたのはもちろんEラインの改善にもなりました。
また、色もホワイトニングのジルコニアセラミックを組み合わせることで、明るく綺麗な口元になりました。
さらに、左下の銀の詰め物を、ダイレクトボンディングで白く治しています。
治療回数 初回カウンセリング込みで3回
治療期間3週間
1回目 カウンセリング+仮歯の型取り
2回目 セラミックの型取り+仮歯のセット
3回目 完成
Case008 – 審美歯科
噛み合わせから審美的なところまで、トータルで治療させて頂いた患者様です。
ここまでやるとなると、できないクリニックもありますし、できるところでも年単位でかかってしまうクリニックが大半だと思いますが、今回は4月末にカウンセリングでご来院いただき、5月に治療をスタートして9月末には診療が終わっています。
治療回数や、治療期間がかかってしまうと、患者様も通院が辛くなったり疲れてしまったりしてしまうと思います。どんどん綺麗になっていく、食事がしやすくなっていくという実感がある方が患者様に楽しく治療に臨んでいただけると思うので、私は診療のスピード感を大切にしています。
トータルでやらせていただいたので、噛み合わせなどの機能面から外見などの審美性もかなり良くなり、患者様にも満足して頂けてよかったです。
治療期間 約4ヶ月
Case007 – 審美歯科
「歯の長さが短い、歯並びが歪んでる、表面が平面でカッコ悪い、歯茎が腫れている」ということを主訴に来院くださった患者様です。
セラミック矯正は歯科医の技術、センスで仕上がりが全く違うため、審美歯科の中でも担当する歯科医によって最も大きな差の出る診療です。
また、歯並びだけではなく顔貌(お顔立ち)まで綺麗にすることができる診療です。
歯茎の腫れは綺麗に歯を削り直して、正確に型を取り、
精密に作られたセラミックを適合よくセットしてあげることで、前医で入れてから1年以上腫れ続けてた歯茎が1週間で綺麗なピンク色に治りました。
形や並びに関しても、まず歯科医師が「どのような形にするか、どのように並べるか」をイメージしながら綺麗に削ることから始まります。
患者様の主訴通りに綺麗にできて喜んでいただきました。
当院では、患者様の主訴と、治療にかけられる費用、期間によって、ワイヤー矯正、インビザライン、インビザラインGo、セラミック矯正の中から治療法の特徴などをお話しし、その患者様に最適な治療を提案させて頂いております。
Case006 – 審美歯科
矯正治療をしたものの、なかなか綺麗にならなかったこと、元々の歯の大きさや治療された色が気に入らなかったことを理由に来院くださった患者様です。
ジルコニアセラミック6本で治療させていただきました。
歯の形、大きさ、色が気に入らなかったり、プラスチックでの治療の面積が大きくなってきてしまった方にはセラミック矯正がおすすめです。
アフターの写真はセットして4ヶ月後です。
歯科医師の腕の違いはセラミックと触れている部分の歯茎の状態と色で分かります。
今回の写真のように歯茎が明るいピンク色で、人工物が入ってるようには見えず、歯茎からセラミックまで移行的な形態になってるものがうまくいってるものです。
赤くなってたり、暗い色になっていたり、歯茎が移行的ではなくブヨブヨしてるものは、うまく入ってない・歯と合ってない可能性があるので一度診てもらうことをお勧めします。
Case005 – 審美歯科
ずっと歯を治したかったけれど、時間がなくてできなかった方がようやく時間が取れるようになり、今回はしっかり治したいということで、ご来院頂けました。
初診時は全く噛めないくらい噛み合わせも悪くなってしまっていたのと、骨がないためにインプラントをするにも難しい状態でしたが、外見も爽やかに、食事も気にせず肉でも何でも噛めて、健康的な状態を目指して治療しました。
歯が綺麗になっていくにつれて笑顔も増えて、どんどん若々しくなっていくのを見てると歯科医としての仕事に本当にやりがいを感じました。
担当 理事長 佐藤 悠野
Case004 – 審美歯科
銀歯の中にできた虫歯の症例です。
「痛くないから今は虫歯がない」と話す方がいらっしゃいますが、それは大きな間違いです。
大人になってからの虫歯は痛みが出ることの方が圧倒的に少なく、口の中の病気は基本的に自覚症状と病気の重さが比例しません。
全ての銀歯の中に虫歯があるわけではありませんが、以下の理由から虫歯には注意が必要です。
1.銀歯はかけたり割れたりすることは絶対にないが、力がかかると”たわむ”
→ゆえに汚れが隙間に入りやすい
2.接着剤がつきやすいので、取れずらい
→ゆえに汚れもつきやすい
この症例のように、自覚症状が無くても銀歯を外してみたら大きな虫歯があるというケースも少なくありません。
しっかり検査、診断してくれるクリニックに定期的に行くことをおすすめいたします。
Case003 – 審美歯科
前歯の審美歯科から、奥歯の虫歯診療、歯がないところのインプラント治療まで口腔内を全体的に当院で治療させて頂いた患者様です。
外見もとても綺麗になり、奥歯でも物を噛めるようになってとても喜んで頂けました。
担当 理事長 佐藤悠野
Case002 – 審美歯科
前医で根切という外科的な根の治療を受けていましたが、それがうまくいっていなく、また膿んでしまっている方の再治療をおこないむした。根切のやり直しは非常に難しいのですが、膿んで溶けてしまっていた骨の再生も確認できて経過は良好です。
またセラミックも新しく綺麗にして、歯茎の黒ずみも消失しています。
治療回数
3回(写真カウンセリングを含む)
担当:理事長 佐藤悠野
Case001 – 審美歯科
欠損部のインプラントと審美歯科を両方させて頂いた患者様です。
とても喜んで頂けました。
自然な噛み合わせと、審美性の両方を追求した症例です。
担当:理事長 佐藤悠野
精密根管治療
Case004 – 精密根管治療
前医で根切という外科的な根の治療を受けていましたが、それがうまくいっていなく、また膿んでしまっている方の再治療をおこないむした。根切のやり直しは非常に難しいのですが、膿んで溶けてしまっていた骨の再生も確認できて経過は良好です。
またセラミックも新しく綺麗にして、歯茎の黒ずみも消失しています。
治療回数
3回(写真カウンセリングを含む)
担当:理事長 佐藤悠野
Case003 – 精密根管治療
精密根管治療の症例です。
感染によって骨がなくなってしまっていたため、温存はかなり難しい症例でしたが、根管治療によって骨も再生して完治しました。
根の治療は「とりあえず痛みを取ること」を目的とするのではなく、完治させ、このように骨の再生も促し、延命ではなく「一生使えるような歯にする」ことを目的としています。
誰が何をしても残せない歯については抜くしかありませんが、きちんとした治療をすることで残せる可能性のある歯については全力で残せるように治療してまいります。
担当:理事長 佐藤悠野
Case002 – 精密根管治療

骨再生治療+精密根管治療を行いました。
他院では抜歯と判定されたケースです。
Beforeで骨が溶けて黒く写っていたところが、Afterでは骨が再生しています。
担当:理事長 佐藤悠野
Case001 – 精密根管治療
精密根管治療のBefore/After

【Before】
CTで確認すると、膿んでしまっており骨が溶けてしまっている状態です。
骨がほとんどなく、歯が歯茎に刺さっているだけの状態でした。
当然、前医では抜歯という判定でした。
【After】
セカンドオピニオンで当院を受診。
当院の精密根管治療と骨造成法を組み合わせた治療を行った結果、骨が再生しています。
今回は骨が再生することができたため、抜歯をせずに治療を行うことができました。

同じ症例を別の角度から撮影した写真です。
骨が再生していることが確認できます。
担当:理事長 佐藤悠野
親知らず抜歯
Case003 – 親知らず抜歯
他院での診療結果は「大学病院で全身麻酔を施したうえでの抜歯」でしたが、当院では通常の歯科治療の通常の麻酔で10分で抜歯することができました。
当日の痛みも少なく、予後も良好でした。
担当:理事長 佐藤悠野
Case002 – 親知らず抜歯
親知らず抜歯のBefore/After


他院では大学病院での治療を勧められたという難しい抜歯ですが、当院では初診時に抜歯いたしました。
また、厚生労働省認可の骨再生療法(CGF)を使用できるため、親知らずの抜歯後の痛みを通常よりも大幅に軽減することができます。
担当:理事長 佐藤悠野
Case001 – 親知らず抜歯
親知らず抜歯のBefore/After


他院では大学病院での治療を勧められたという難しい抜歯ですが、当院では初診時に抜歯いたしました。
また、厚生労働省認可の骨再生療法(CGF)を使用できるため、親知らずの抜歯後の痛みを通常よりも大幅に軽減することができます。
担当:理事長 佐藤悠野
歯周組織再生療法
Case001 – 歯周組織再生療法
歯周病で溶けた骨を再生した歯周組織再生療法の症例です。
揺れて不安定だった歯が再生した骨によってしっかりと固定されました。
担当:理事長 佐藤悠野
当院のInstagramアカウントでは当院の症例をご紹介しております。




































































































































































































































































